
THE SCIENCE BEHIND SERUCELL
True Anti-Aging at the Cellular Level.

WHY SKIN AGES — AND HOW WE CAN HELP
As we age, the communication between skin cells starts to break down. This leads to:
- Less collagen and elastin production
- Weaker skin structure and integrity
- Thinner, looser skin
- Slower repair and renewal
The visible signs of aging — wrinkles, sagging, uneven tone — are largely caused by this gradual breakdown in how skin cells "talk" to each other.
Serucell is designed to restore that lost connection, helping your skin behave more like it did when you were younger.

ADVANCED DUAL-CELLULAR TECHNOLOGY
Serucell’s formulas are powered by our Dual-Cellular Tissue Specific Secretome — a highly specialized blend of growth factors, peptides, proteins, and nutrients carefully engineered to work with your body’s own healing language.
We call it the “language your body understands.” This proprietary complex helps:
- Signal your skin to build new collagen and elastin
- Strengthen connections between skin layers
- Boost hydration and firmness
- Smooth and refine texture for more radiant, resilient skin
Our science doesn't simply cover up signs of aging — it helps address the root causes of skin aging at a cellular level.

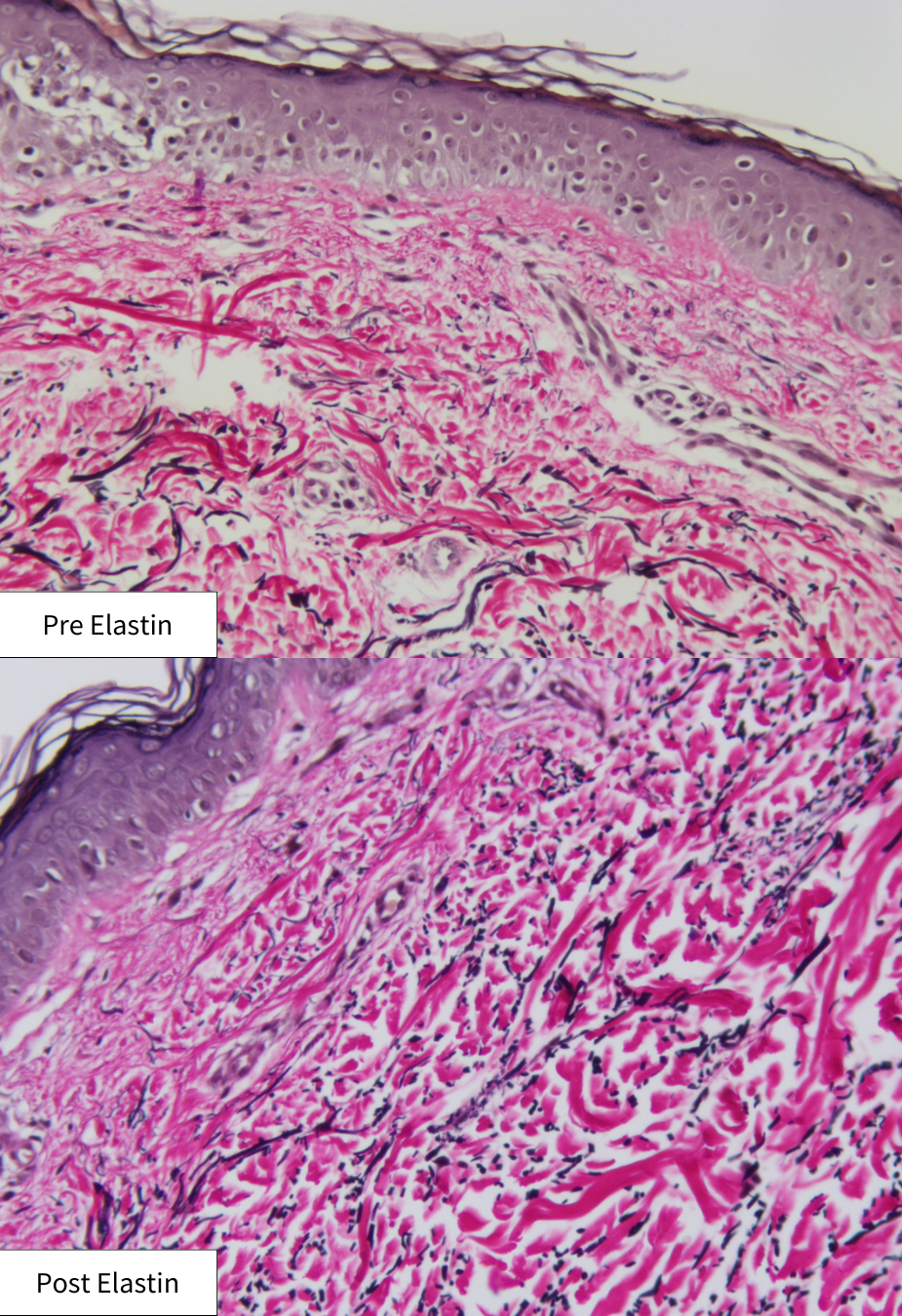
CLINICALLY PROVEN RESULTS
In clinical studies, Serucell’s proprietary complex has been shown to deliver real, measurable results:
- Collagen levels increased by 24.69% after six weeks of use (measured in human keratinocyte fibroblast studies)
- Elastin increased by 26.35%, improving skin firmness and elasticity
- Skin structure improved by 25.39% at the dermal-epidermal junction, smoothing wrinkles and enhancing skin strength
These improvements help restore youthful volume, reduce visible lines, and give skin a healthier, more vibrant appearance.

CLEAN, SAFE, AND SKIN-LOVING FORMULAS
Serucell’s science is powerful — but also safe for daily use. Every formula is:
- Dermatologist-tested
- Hypoallergenic
- Free from parabens, sulfates, and added fragrance
- Non-comedogenic and safe for sensitive skin
You can feel confident knowing you’re giving your skin what it truly needs to renew, repair, and glow.